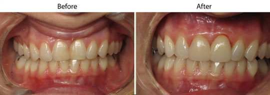
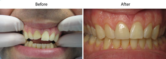
Veneers | Asheboro, NC
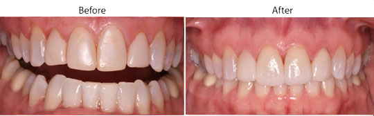
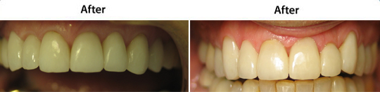
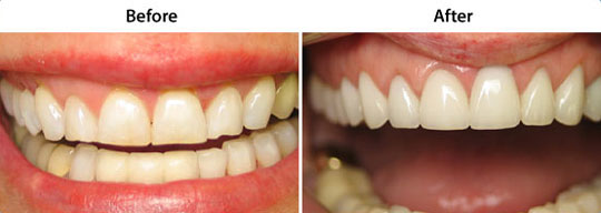
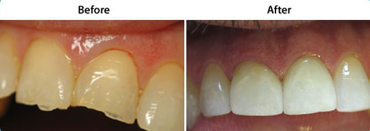
Veneers are thin, porcelain, semi-translucent laminates that are permanently bonded to your teeth. Veneers are the most aesthetic alternative for a variety of dental conditions involving front teeth, including:
- Broken or chipped teeth
- Gaps between your teeth
- Unsightly, stained, or washed out fillings
- Permanently stained or discolored teeth that cannot be whitened
- Crooked teeth
*Photos are actual patients in our office













