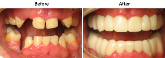
Snap On Smile Services in Asheboro, NC
Snap On Smile it is an excellent choice for patients with:
- Gaps, crooked, stained or missing teeth
- Those who are not candidates for bridges or implants
- Anyone who would like a Hollywood smile without the expense and discomfort of complex and invasive dental procedures
- Anyone who has an old-fashioned removable partial denture and wants a beautiful, more comfortable alternative.
