CEREC Same Day Restorations in Asheboro, NC
Single Appointment Dental Care for Crowns and Fillings
Most dental restorative methods require more than one visit to the dentist. This means that on the first visit, you get an injection of anesthesia, your tooth prepared, an impression taken, and a temporary restoration put on your tooth. You make a second appointment for a couple of weeks later, get another injection, have the temporary pried off (if it hasn't fallen off already), and have a permanent restoration put on. Why go to the dentist a second time when you don't have to? With CEREC, the procedure is done in a single appointment, start to finish.
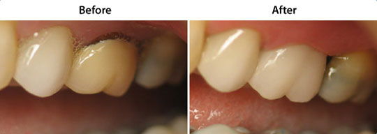
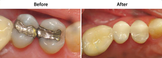
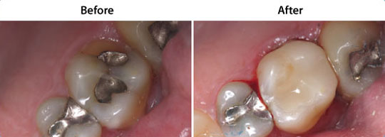
*Photos are actual patients in our office






Finest Dental Materials
A CEREC tooth restoration isn't just convenient, it is also healthy. Many years ago, dentists had few options to repair decayed and damaged teeth other than amalgam, gold, and other metals. With CEREC, we can use strong, tooth colored ceramic materials to restore your teeth to their natural strength, beauty, and function. These materials closely match the composition of natural tooth structure. This means when you eat hot food and then drink something cold, the restoration and tooth expand and contract at almost equal rates. So, your tooth does not crack, and you can go on enjoying your evening. Also, the materials are chemically bonded to your tooth, so we can save as much healthy tooth tissue as possible while providing you with a dental restoration that strengthens your tooth.

Smile Enhancement
Your dentist can use CEREC for more than just crowns and fillings. CEREC is capable of producing any single tooth restoration. Chipped or discolored front teeth can be repaired with beautiful CEREC porcelain anterior crowns or veneers. Your smile makes a lasting first impression. Enhance it with CEREC.

